Kunstig intelligens afgør røntgenbilleder og giver mindre kø på skadestuen

Sundhed, Sygehuse og Psykiatri

Nu skal kunstig intelligens være med til at afgøre om der er knoglebrud på under et minut. Den nye løsning skal minimere flaskehalse på skadestuer og i skadeklinikker.

Mindre ventetid på skadestuen

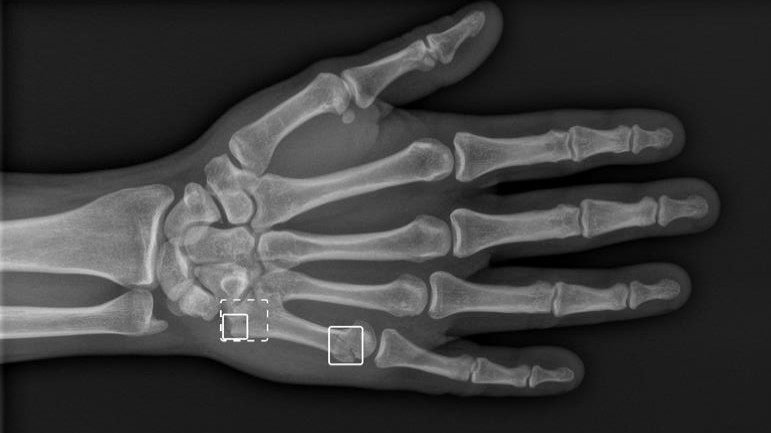
Nu afgør kunstig intelligens om en skadestuepatient har et knoglebrud i arme eller ben. Den kunstige intelligens kan med meget stor sikkerhed afgøre, om der er et brud ud fra et røntgenbillede. Det bruges til at vurdere, hvilke patienter der skal ses først, og om nogle kan sendes hjem igen.

En stor del af de patienter, hvor der mistænkes knoglebrud, får i dag foretaget røntgenundersøgelser for at afklare eventuelle brud. Det skaber en flaskehals på skadestuerne, når røntgenbillederne skal aflæses og fortolkes.

Region Nordjylland har derfor nu implementeret løsningen, der med meget høj grad af sikkerhed kan afgøre, om der er tale om brud eller ej på røntgenbillederne.

Svaret på røntgenundersøgelsen kommer derfor nu inden for 1 minut efter, at billedet er taget. I første omgang er systemet taget i brug i skadestuen på Aalborg Universitetshospital og på skadeklinikken i Farsø. Det er planen, at alle regionens akutmodtagelser og skadeklinikker skal have systemet på sigt.

- Vi er begejstrede for løsningen. Det giver vores dygtige medarbejdere mulighed for at træffe hurtige og valide beslutninger om patienternes behandling. Vi forventer, at teknologien vil bidrage til at reducere ventetiden og effektivisere patientflowet i skadestuen, siger Christian Pedersen, der er cheflæge på Ortopædkirurgisk Afdeling på Aalborg Universitetshospital.

Flaskehalsen vil ikke længere opstå i lige så høj grad, fordi løsningen giver mulighed for, at behandlersygeplejersker eller læger, der ikke har færdiggjort en fuld medicinuddannelse, selvstændigt kan afslutte behandlingen af patienten, uden at billedet først skal konsulteres med en autoriseret læge, beskrivende radiograf eller radiolog.

Derfor er det muligt med en hurtigere udskrivning af flere patienter fra skadestuen og skadeklinikken. Alle røntgenbilleder skal stadig diskuteres på en røntgenkonference næste dag for at sikre en second opinion af billedet, som det også er tilfældet i dag.

Flere initiativer på vej

I Region Nordjylland udføres der årligt omkring 50.000 røntgenundersøgelser af skadespatienter, så perspektiverne er store.

Udvalgsformand for Sundhedsudvalget i Region Nordjylland, Lina Hundebøll Jespersen (V), er glad for, at løsningen nu er begyndt at rulle ud på hospitalerne.

- Det er et eksempel på, hvordan teknologi kan hjælpe os med at forbedre sundhedsplejen og sikre bedre udnyttelse af vores ressourcer. Vi er glade for at investere i noget, der vil give vores sundhedspersonale mulighed for at fokusere deres ekspertise, hvor det er mest nødvendigt, og samtidig sikre hurtigere behandling af vores skadepatienter, siger Lina Hundebøll Jespersen.

Udvalgsformanden forklarer, at løsningen kun er en af mange, der skal være med til at nedbringe ventetiden på akutmodtagelserne og skadestuerne i Region Nordjylland. Der har været nedsat en task force i regionen, som har kigget på flere forskellige løsninger, da ventetiden har været for høj. Der er derfor flere nye initiativer på vej, der skal være med til at løse udfordringerne.